
Achieving the best orthodontic treatment results often involves more than just alignment of teeth. Sometimes, the shape of teeth themselves will not allow for ideal placement, or supporting gum tissues are insufficient for optimal esthetics. In these cases, changes on a very small scale can make noticeable differences in the end result.
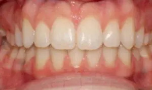
Our patient was very concerned about the “dark triangle” on his gumline at the beginning of treatment. “Dark triangles” are most often seen in adult patients with minor bone loss between the front teeth, or teeth that are overlapped prior to orthodontic treatment. In order for gum tissue to fill the space, adequate bone support is necessary, and does not always form, and the “dark triangle” is even accentuated once teeth are aligned. In younger patients, “dark triangle” is usually due to the shape of teeth. The more triangular the teeth are, the more likely a “dark triangle” will result.
“Dark triangle” is easily managed in patients with triangular teeth. Slight reshaping of the contact between the two front teeth allows them to be placed closer together, moving the contact closer to the gum tissue, allowing the gum tissue that is already present to fill the space.
Our patient was thrilled with his new smile, as were we! However, we could not have achieved such amazing results without comprehensive treatment planning, and clear visualization of the patient’s treatment goals.
If you are interested in learning more about Invisalign in Bakersfield, CA, please give us a call at our office to schedule your initial consultation.


